Προσπάθησε να «πνίξει» το φτέρνισμα και κατέληξε στο νοσοκομείο

Προσπάθησε να «πνίξει» το φτέρνισμα και κατέληξε στο νοσοκομείο Facebook Twitter
0

Αποτελεί μια σχεδόν αυτόματη κίνηση που κάνουμε πολλοί, αλλά οι γιατροί προειδοποιούν να μην «πνίγουμε» το φτέρνισμα κλείνοντας τη μύτη και το στόμα. Το παράδειγμα ενός άνδρα στη Σκωτία αποτελεί χαρακτηριστικό παράδειγμα για το τι μπορεί να συμβεί. 

Ο συγκεκριμένος οδηγούσε την ώρα που του «ήρθε» να φτερνιστεί και έκλεισε τη μύτη και το στόμα προκειμένου να το «πνίξει». Όμως, εξαιτίας αυτού κατέληξε στο νοσοκομείο του Νταντί, με έντονους πόνους

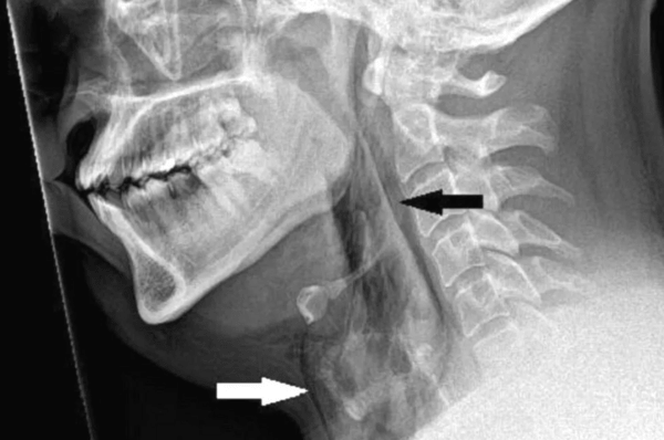
Εξετάζοντας τον περίπου 30 ετών ασθενή, οι γιατροί άκουσαν έναν ήχο όταν άγγιξαν τον λαιμό του. Οι ακτινογραφίες αποκάλυψαν πως «πνίγοντας» το φτέρνισμα προκάλεσε μια ρήξη 2 χιλιοστών στην τραχεία του, σύμφωνα με την έκθεση για το περιστατικό που δημοσιεύθηκε στο BMJ Case Reports. 

Οι γιατροί δεν έκριναν απαραίτητο να υποβληθεί σε χειρουργική επέμβαση, αλλά κράτησαν τον ασθενή για παρακολούθηση. Πήρε εξιτήριο αφού του χορηγήθηκαν αναλγητικά και αντιπυρετικά και τον συμβούλευσαν να αποφύγει την έντονη δραστηριότητα για 15 ημέρες. Νέα εξέταση στην οποία υποβλήθηκε έπειτα από πέντε εβδομάδες έδειξε πως είχε επουλωθεί το τραύμα στην τραχεία. 

Γιατί δεν πρέπει να «πνίγουμε» το φτέρνισμα 

Με αφορμή αυτό το περιστατικό γιατροί του πανεπιστημίου του Νταντί επισημαίνουν ότι δεν πρέπει να κλείνουμε τη μύτη και το στόμα τη στιγμή που φτερνιζόμαστε. 

Με μια τέτοια κίνηση, η πίεση στην ανώτερη αναπνευστική οδό μπορεί να αυξηθεί κατά περίπου 20 φορές. Αυτό μπορεί να προκαλέσει τραυματισμούς, μεταξύ άλλων ρήξη τυμπάνου, ανεύρυσμα, ακόμη και κάταγμα στα πλευρά

Ο δρ. Ράσαντς Μίζιροβς, επικεφαλής συντάκτης της έκθεσης, δήλωσε στο BBC ότι οι άνθρωποι θα πρέπει να φτερνίζονται ελεύθερα, καθώς πρόκειται για φυσικό αμυντικό μηχανισμό του σώματος. 

«Πρέπει να καλύπτουμε απαλά το πρόσωπο, είτε με την παλάμη μας είτε με το εσωτερικό του αγκώνα», σημείωσε, εξηγώντας ότι έτσι θα προστατεύσουμε τους γύρω μας από τους ιούς. 

Επίσης ανέφερε ότι υπάρχουν κάποιες μέθοδοι για να «πνίγει» κάποιος το φτέρνισμα, χωρίς να κλείνει το στόμα και τη μύτη. «Εγώ χρησιμοποιώ μια άλλη τεχνική: πιέζω τον αντίχειρα στο άνω χείλος, ακριβώς κάτω από τη μύτη, για λίγα δευτερόλεπτα και για εμένα έχει αποτέλεσμα», εξήγησε.  

Με πληροφορίες από BBC

Διεθνή
0

ΣΧΕΤΙΚΑ ΑΡΘΡΑ

ΔΕΙΤΕ ΑΚΟΜΑ

«Δεν είχα εμβολιαστεί ποτέ»: Παιδιά χωρίς εμβόλια, ενήλικες χωρίς ανοσία – Το ανησυχητικό φαινόμενο στις ΗΠΑ

Διεθνή / «Δεν είχα εμβολιαστεί ποτέ»: Παιδιά χωρίς εμβόλια, ενήλικες χωρίς ανοσία – Το ανησυχητικό φαινόμενο στις ΗΠΑ

Όλο και περισσότεροι Αμερικανοί ενηλικιώνονται χωρίς βασικά εμβόλια λόγω της διστακτικότητας των γονιών τους - Η ιστορία της Λέισι Μάντισον αποκαλύπτει τους κινδύνους, τις επιπτώσεις και τη σημασία της εμπιστοσύνης στην επιστήμη
LIFO NEWSROOM
BBC: Η Γαλλία σε νέα πολιτική κρίση μετά την παραίτηση Λεκορνί - Προθεσμία 48 ωρών για σταθερότητα

Διεθνή / Γαλλία: Βαθαίνει η πολιτική κρίση μετά την παραίτηση Λεκορνί - Προθεσμία 48 ωρών για σταθερότητα

Ο Γάλλος πρόεδρος παρά την παραίτησή του Σεμπαστιάν Λεκορνί, του έδωσε προθεσμία 48 ωρών, για να να επιτευχθεί συμφωνία με τα κόμματα για ένα «σχέδιο σταθερότητας» για τη χώρα
LIFO NEWSROOM
Βασιλιάς Κάρολος: Η μυστική συνάντηση με πρώην δεξί χέρι του μετά από χρόνια στο Clarence House

Διεθνή / Βασιλιάς Κάρολος: Η μυστική συνάντηση με πρώην δεξί χέρι του μετά από χρόνια στο Clarence House

«Μπορώ να τα καταφέρω χωρίς σχεδόν κανέναν, εκτός από τον Μάικλ» φέρεται να είχε πει κάποτε για τον συνεργάτη του, ο οποίος απομακρύνθηκε από τη θέση του μετά από οικονομικό κάνδαλο
LIFO NEWSROOM
Έβερεστ: «Φοβήθηκα μη θαφτώ ζωντανός» - Σε εξέλιξη η τεράστια επιχείρηση διάσωσης των εγκλωβισμένων ορειβατών

Διεθνή / Έβερεστ: «Φοβήθηκα μη θαφτώ ζωντανός» - Σε εξέλιξη η τεράστια επιχείρηση διάσωσης των εγκλωβισμένων ορειβατών

Σφοδρή χιονοθύελλα άφησε εκατοντάδες ανθρώπους αποκλεισμένους στις απομακρυσμένες πλαγιές του όρους Έβερεστ, οδηγώντας σε μια μαζική επιχείρηση διάσωσης
LIFO NEWSROOM
Γκίσλεϊν Μάξγουελ: Απορρίφθηκε η έφεση της - Δεν ακυρώνεται η καταδίκη της

Διεθνή / Γκίσλεϊν Μάξγουελ: Απορρίφθηκε η έφεση της - Δεν ακυρώνεται η καταδίκη της

Η καταδικασμένη συνεργάτιδα του Τζέφρι Έπσταϊν υποστήριζε ότι έπρεπε να απαλλαγεί, επειδή ο Έπσταϊν είχε συνάψει το 2008 συμφωνία με τις αρχές που τον Proστάτευε από περαιτέρω δίωξη.
LIFO NEWSROOM
Ζιζέλ Πελικό: Επέστρεψε στο δικαστήριο για να αντιμετωπίσει έναν από τους άνδρες που καταδικάστηκαν για τον βιασμό της

Διεθνή / Ζιζέλ Πελικό: Επέστρεψε στο δικαστήριο για να αντιμετωπίσει έναν από τους άνδρες που καταδικάστηκαν για τον βιασμό της

Η 72χρονη επέστρεψε σήμερα σε δικαστήριο της Γαλλίας - Ο μοναδικός από τους 51 κατηγορουμένους για τους βιασμούς της αμφισβήτησε την ποινή του
LIFO NEWSROOM
Global Sumud Flotilla: Στην Ελλάδα πάνω από 170 ακτιβιστές – Ανάμεσά τους και η Γκρέτα Τούνμπεργκ

Διεθνή / Global Sumud Flotilla: Στην Ελλάδα πάνω από 170 ακτιβιστές – Ανάμεσά τους και η Γκρέτα Τούνμπεργκ

Η Global Sumud Flotilla, αποστολή αλληλεγγύης προς τη Γάζα, είχε ως στόχο να μεταφέρει ανθρωπιστική βοήθεια και να αναδείξει τις παραβιάσεις ανθρωπίνων δικαιωμάτων στην περιοχή
LIFO NEWSROOM
«Δεν έβγαλαν παρέλαση»: Ποιοι πρωθυπουργοί παραιτήθηκαν πριν κλείσουν τρεις μήνες

Διεθνή / «Δεν έβγαλαν παρέλαση»: Ποιοι πρωθυπουργοί παραιτήθηκαν πριν κλείσουν τρεις μήνες

Από τη Λιζ Τρας και τη Μαγκνταλένα Άντερσον μέχρι τον Πρίγκιπα Χιγκασικούνι και τον Αντ. Ροντρίγκες Σαά — Οι πιο σύντομες πρωθυπουργικές θητείες στην ιστορία, που έληξαν πριν καν συμπληρωθούν 91 ημέρες
LIFO NEWSROOM