LIVE!

Πιο κοντά από ποτέ τα «ζωντανά» δόντια που καλλιεργούνται στο εργαστήριο

Πιο κοντά από ποτέ τα «ζωντανά» δόντια που καλλιεργούνται στο εργαστήριο Facebook Twitter
Φωτ: Xuechen Zhang
0

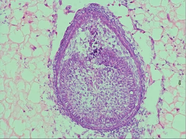
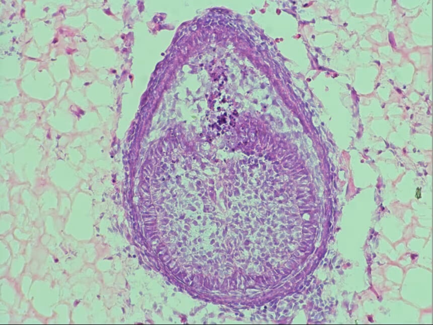
Επιστήμονες του King’s College στο Λονδίνο σημείωσαν σημαντική πρόοδο στην καλλιέργεια βιολογικών δοντιών στο εργαστήριο, φέρνοντας πιο κοντά τη μέρα που τα εμφυτεύματα τιτανίου ίσως αντικατασταθούν από πραγματικά, «ζωντανά» δόντια.

Η ερευνητική ομάδα της αναπληρώτριας καθηγήτριας Άνα Αντζελόβα Βολπόνι, διευθύντριας του προγράμματος μεταπτυχιακών σπουδών στην αναγεννητική οδοντιατρική, εργάζεται πάνω στο αντικείμενο σχεδόν δύο δεκαετίες. Το 2013, η Βολπόνι είχε καταφέρει να δημιουργήσει ένα πειραματικό δόντι, συνδυάζοντας κύτταρα από ανθρώπινα ούλα με κύτταρα ποντικιού, σε μια έρευνα που θεωρείται ορόσημο για την επιστήμη της αναγέννησης ιστών.

Η νέα της μελέτη βασίζεται σε εκείνη την πρώτη επιτυχία και επικεντρώνεται στο περιβάλλον μέσα στο οποίο αναπτύσσονται τα κύτταρα. Η ομάδα του King’s ανέπτυξε ένα νέο υλικό, μια λεγόμενη «σκαλωσιά», που προσομοιώνει πιο πιστά το φυσικό περιβάλλον του στόματος. Πρόκειται για ένα είδος ζελατινώδους πολυμερούς με υψηλή περιεκτικότητα σε νερό, γνωστό ως υδρογέλη. Όπως εξηγούν οι ερευνητές, το υλικό αυτό επιτρέπει στα κύτταρα να «επικοινωνούν» καλύτερα μεταξύ τους και να οργανώνονται πιο αποτελεσματικά κατά τη διάρκεια της ανάπτυξης.

Μέσα σε αυτό το περιβάλλον, τα κύτταρα σχηματίζουν μικροσκοπικές δομές που μοιάζουν με δόντια, ένα σημαντικό βήμα πριν αντικατασταθούν πλήρως τα εμβρυϊκά κύτταρα ποντικιών με ανθρώπινα. Σε προηγούμενες μελέτες, παρόμοιες δομές είχαν μεταμοσχευθεί σε ποντίκια και εξελίχθηκαν σε δόντια με ρίζες και σμάλτο.

Τα δύο «σενάρια» για τα δόντια που «καλλιεργούνται» στο εργαστήριο

Η Βολπόνι περιγράφει δύο πιθανά σενάρια για την κλινική εφαρμογή της τεχνολογίας. Στο πρώτο, ένα δόντι καλλιεργείται μέχρι ένα συγκεκριμένο στάδιο και στη συνέχεια εμφυτεύεται στην οδοντική κοιλότητα, όπου συνεχίζει να αναπτύσσεται φυσικά. Στο δεύτερο, το δόντι καλλιεργείται πλήρως στο εργαστήριο και τοποθετείται χειρουργικά. «Είναι ακόμη νωρίς για να γνωρίζουμε ποια από τις δύο μεθόδους θα αποδειχθεί πιο αποτελεσματική», σημειώνει.

Πιο κοντά από ποτέ τα «ζωντανά» δόντια που καλλιεργούνται στο εργαστήριο Facebook Twitter
Ο Xuechen Zhang και η Άνα Αντζελόβα Βολπόνι / Φωτ: Xuechen Zhang

Ένα δόντι που θα έχει δημιουργηθεί από τα κύτταρα του ίδιου του ασθενούς δεν θα προκαλεί φλεγμονές ή απόρριψη, ενώ θα ενσωματώνεται φυσικά στους ιστούς του στόματος και θα διατηρεί την αίσθηση ενός κανονικού δοντιού.

Η νέα έρευνα έχει ήδη προσελκύσει το ενδιαφέρον της επιστημονικής κοινότητας. Ο Βίτορ Νέβες, ανώτερος λέκτορας στο Πανεπιστήμιο του Σέφιλντ, σημειώνει ότι το έργο της Βολπόνι αντιμετωπίζει «έναν από τους πιο κρίσιμους παράγοντες στην ανάπτυξη και τη μελλοντική παραγωγή βιολογικών δοντιών: τη δημιουργία του σωστού υποστρώματος που στηρίζει την ανάπτυξη του ιστού».

Παράλληλα, ανάλογες προσπάθειες γίνονται διεθνώς. Στην Ιαπωνία, η ομάδα του Κάτσου Τακαχάσι δοκιμάζει μια θεραπεία που ενεργοποιεί την ανάπτυξη δοντιών σε άτομα που γεννιούνται χωρίς οδοντοφυΐα, ενώ στις Ηνωμένες Πολιτείες, ερευνητές του πανεπιστημίου Tufts έχουν καταφέρει να αναπτύξουν ανθρώπινα δόντια και να χαρτογραφήσουν τον μοριακό μηχανισμό σχηματισμού τους.

«Η πρόοδος είναι ταχύτατη», λέει η καθηγήτρια Χάνελε Ρουόχολα-Μπέικερ από το Πανεπιστήμιο της Ουάσιγκτον. «Η μέρα που θα μπορούμε να επισκευάζουμε ή να αντικαθιστούμε φυσικά δόντια με νέα, καλλιεργημένα από τα ίδια μας τα κύτταρα, δεν είναι τόσο μακριά όσο νομίζουμε».

Με πληροφορίες από CNN

Τech & Science
0

LIVE!

ΣΧΕΤΙΚΑ ΑΡΘΡΑ

ΔΕΙΤΕ ΑΚΟΜΑ

Νέα μελέτη: Οι δεινόσαυροι δεν θα εξαφανίζονταν αν δεν χτυπούσε ο αστεροειδής

Τech & Science / Οι δεινόσαυροι δεν θα εξαφανίζονταν αν δεν χτυπούσε ο αστεροειδής

Νέα μελέτη από το Νέο Μεξικό δείχνει ότι οι δεινόσαυροι δεν βρίσκονταν σε παρακμή πριν από την καταστροφική πρόσκρουση αστεροειδούς, αποκαλύπτοντας πλούσια και διαφορετική πανίδα λίγο πριν την εξαφάνιση
LIFO NEWSROOM
Ο εγκέφαλος του άνδρα συρρικνώνεται πιο γρήγορα από αυτόμ της γυναίκας

Τech & Science / Ο εγκέφαλος του άνδρα συρρικνώνεται πιο γρήγορα από αυτόν της γυναίκας

Αναλύοντας πάνω από 12.000 απεικονίσεις εγκεφάλου, οι ερευνητές διαπίστωσαν ότι ο εγκέφαλος των ανδρών παρουσιάζει πιο απότομη μείωση όγκου σε διάφορες περιοχές με την πάροδο του χρόνου
LIFO NEWSROOM
Αντικαταθλιπτικά: Ποια φάρμακα επηρεάζουν περισσότερο βάρος, πίεση και παλμούς

Τech & Science / Αντικαταθλιπτικά: Ποια φάρμακα επηρεάζουν περισσότερο βάρος, πίεση και παλμούς

Για πρώτη φορά, οι παρενέργειες των διαφορετικών αντικαταθλιπτικών φαρμάκων ταξινομούνται και συγκρίνονται μεταξύ τους, αποκαλύπτοντας τεράστιες διαφορές από σκεύασμα σε σκεύασμα
LIFO NEWSROOM
Βρετανία: Γυναίκα έπαιξε κλαρινέτο κατά τη διάρκεια χειρουργείου για τη νόσο Πάρκινσον

Τech & Science / Βρετανία: Γυναίκα έπαιξε κλαρινέτο κατά τη διάρκεια χειρουργείου για τη νόσο Πάρκινσον - Τα αποτελέσματα

Η 65χρονη ασθενής υποβλήθηκε σε βαθιά εγκεφαλική διέγερση (DBS) για να αντιμετωπίσει τα συμπτώματα του Πάρκινσον, όπως βραδυκινησία και μυϊκή ακαμψία
LIFO NEWSROOM
Η κλιματική κρίση είναι εδώ: Εντοπίστηκαν για πρώτη φορά κουνούπια στην Ισλανδία

Τech & Science / Η κλιματική κρίση είναι εδώ: Εντοπίστηκαν για πρώτη φορά κουνούπια στην Ισλανδία

Ανακαλύφθηκαν σε μία από τις ελάχιστες περιοχές του κόσμου όπου μέχρι πρότινος δεν υπήρχαν κουνούπια - Η Ισλανδία θερμαίνεται με ρυθμό τέσσερις φορές ταχύτερο σε σύγκριση με τον υπόλοιπο βόρειο ημισφαίριο
LIFO NEWSROOM