Μπορεί η κατανάλωση UPFs τροφίμων να συνδεθεί με τον καρκίνο του εντέρου; - Τι έδειξε νέα μελέτη

Κατανάλωση UPFs τροφίμων και καρκίνος του εντέρου: Τι δείχνει νέα μελέτη Facebook Twitter
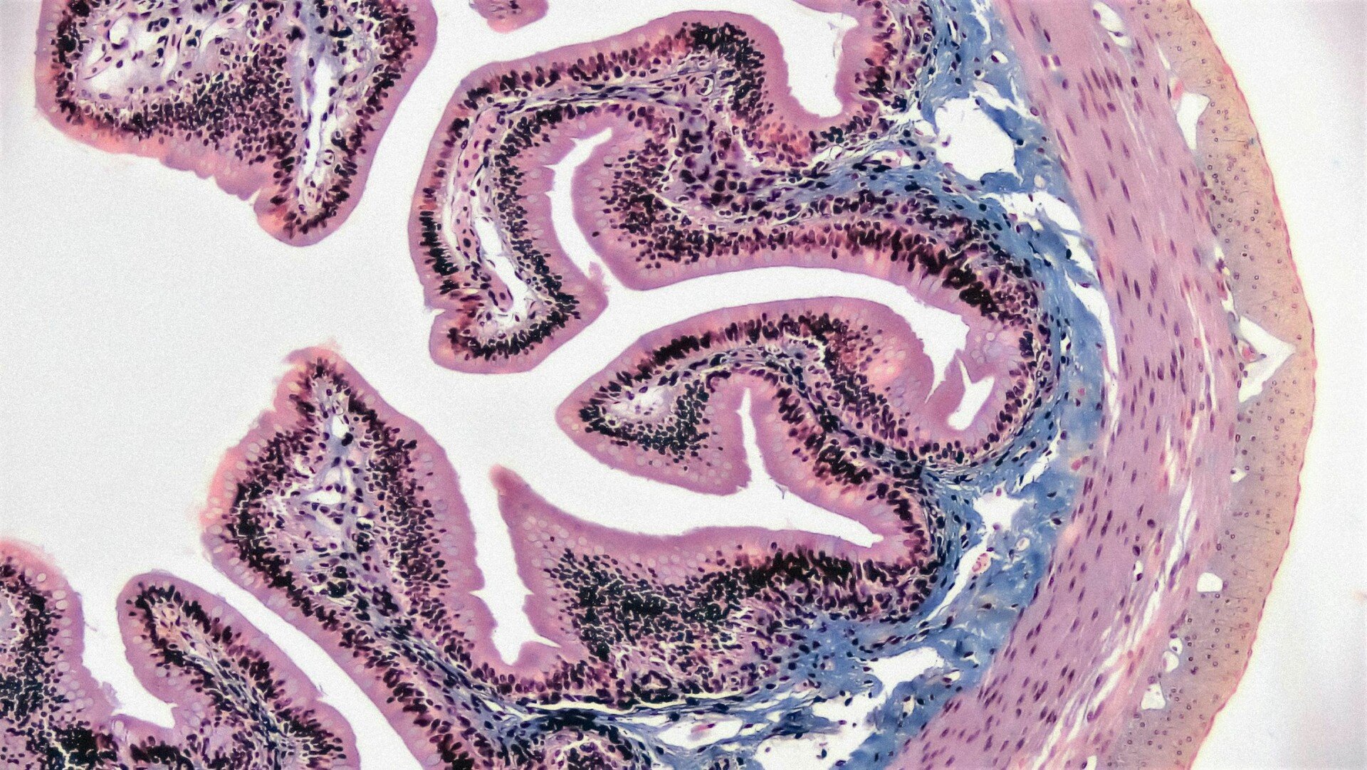
Νέα μελέτη εξηγεί τη σύνδεση ανάμεσα στην κατανάλωση UPFs τροφίμων και του καρκίνου του εντέρου / Φωτ.: Unsplash
0

Τα αποτελέσματα νέας μελέτης σε γυναίκες, κατέληξαν στο ότι όσες καταναλώνουν περισσότερα UPFs αυξάνουν τις πιθανότητες για πρώιμη εμφάνιση πολύποδα που μπορεί να εξελιχθεί σε καρκίνο στο έντερο.

Γυναίκες κάτω των 50 ετών που ακολουθούν διατροφή πλούσια σε υπερ-επεξεργασμένα τρόφιμα (UPFs) εμφανίζουν μεγαλύτερο κίνδυνο να αναπτύξουν ανώμαλες αναπτύξεις στο έντερο-πολύποδες που μπορεί να οδηγήσουν σε καρκίνο- σύμφωνα με τα ευρήματα του Δρ. Andrew Chan, επικεφαλής της έρευνας στο Massachusetts General Hospital και της ομάδας του.

«Τα υπερ-επεξεργασμένα τρόφιμα ορίζονται συνήθως ως βιομηχανικά προϊόντα, έτοιμα προς κατανάλωση, με ελάχιστη περιεκτικότητα σε τρόφιμα ολικής μορφής, φυτικές ίνες και βιταμίνες, και υψηλή σε κορεσμένα λιπαρά, ζάχαρη, αλάτι και πρόσθετα», γράφει ο Guardian.

Προγενέστερες μελέτες έχουν συνδέσει την κατανάλωσή τους με πληθώρα προβλημάτων υγείας, από αυξημένο κίνδυνο καρδιοπάθειας έως και πρόωρη θνησιμότητα.

Τώρα, οι ερευνητές αναφέρουν ότι οι γυναίκες που καταναλώνουν περισσότερα UPFs παρουσιάζουν αυξημένο κίνδυνο για πρώιμη εμφάνιση μιας συχνής μορφής πολύποδα του εντέρου, γνωστής ως συμβατικό αδένωμα.

UPFs τρόφιμα και καρκίνος του εντέρου: Η έρευνα του Δρ. Andrew Chan

Ο Δρ. Andrew Chan, επικεφαλής της έρευνας στο Massachusetts General Hospital, δήλωσε ότι η μελέτη ξεκίνησε ως προσπάθεια κατανόησης των αιτιών πίσω από την αύξηση των κρουσμάτων καρκίνου του εντέρου σε νεαρά άτομα.

«Η μεγάλη πλειονότητα αυτών των πολυπόδων δεν εξελίσσονται σε καρκίνο. Ταυτόχρονα όμως γνωρίζουμε ότι οι περισσότεροι καρκίνοι εντέρου σε νεαρά άτομα ξεκινούν από αυτές τις προκαρκινικές αλλοιώσεις», είπε.

Στο άρθρο τους στο JAMA Oncology, ο Chan και οι συνεργάτες του περιγράφουν πώς ανέλυσαν δεδομένα από τη μακροχρόνια αμερικανική μελέτη Nurses’ Health Study II, η οποία ξεκίνησε το 1989 και περιλάμβανε γυναίκες γεννημένες μεταξύ 1947 και 1964.

Από το 1991, οι συμμετέχουσες συμπλήρωναν ανά τετραετία ερωτηματολόγιο διατροφής, αναφέροντας τη συχνότητα κατανάλωσης συγκεκριμένων τροφών κατά το τελευταίο έτος.

UPFs τρόφιμα και καρκίνος του εντέρου: Η ανάλυση δεδομένων 29.105 γυναικών

Η ομάδα μελέτησε δεδομένα 29.105 γυναικών που είχαν συμπληρώσει τα ερωτηματολόγια, είχαν υποβληθεί τουλάχιστον μία φορά σε κολονοσκόπηση μετά το 1991 και δεν είχαν ιστορικό πολυπόδων, φλεγμονώδους νόσου του εντέρου ή άλλης μορφής καρκίνου πλην του βασικοκυτταρικού καρκίνου του δέρματος.

Οι ερευνητές τις παρακολούθησαν έως τον Ιούνιο του 2015, όταν όλες είχαν φτάσει τα 50. Έως τότε είχαν καταγραφεί 1.189 περιπτώσεις πρώιμων συμβατικών αδενωμάτων και 1.598 περιπτώσεις μιας άλλης μορφής πολύποδα, των οδοντωτών βλαβών.

Οι συμμετέχουσες χωρίστηκαν σε πέντε ομάδες ως προς την κατανάλωση UPFs. Σε σύγκριση με την ομάδα που κατανάλωνε τα λιγότερα (κατά μέσο όρο 3,3 μερίδες ημερησίως), η ομάδα με τη μεγαλύτερη κατανάλωση (9,9 μερίδες ημερησίως) είχε 45% υψηλότερο κίνδυνο εμφάνισης συμβατικών αδενωμάτων, αφού λήφθηκαν υπόψη παράγοντες όπως το BMI, το κάπνισμα και η φυσική δραστηριότητα.

Ωστόσο, δεν διαπιστώθηκε αυξημένος κίνδυνος για οδοντωτές βλάβες. Η «οδοντωτή βλάβη» αναφέρεται συνήθως στην οδοντωτή αλλοίωση ή τον οδοντωτό πολύποδα που εμφανίζεται στον βλεννογόνο του παχέος εντέρου. Αυτές οι βλάβες είναι η δεύτερη πιο συχνή προδρομική μορφή καρκίνου του παχέος εντέρου και είναι συχνά επίπεδες ή άμισχες, με δυσκολία εντοπισμού λόγω της κάλυψής τους από βλέννη.

Η μελέτη έχει περιορισμούς: βασίζεται στην ανάμνηση των συμμετεχουσών για το τι κατανάλωναν, επηρεάζεται από δυσκολίες στην ακριβή ταξινόμηση των τροφών ως UPFs, δεν εξετάζει την εμφάνιση καρκίνου του εντέρου καθ’ εαυτήν και δεν μπορεί να αποδείξει ότι τα UPFs προκαλούν πολύποδες.

«Δεν σημαίνει ότι αν καταναλώνετε UPFs θα αναπτύξετε καρκίνο»

Παρόλα αυτά, ο Chan σημείωσε ότι υπάρχουν πιθανοί βιολογικοί μηχανισμοί που ενισχύουν τα ευρήματα: τα UPFs έχουν συνδεθεί με μεταβολικές διαταραχές, την παχυσαρκία και τον διαβήτη τύπου 2 - παράγοντες που σχετίζονται με αυξημένο κίνδυνο καρκίνου του εντέρου. Επίσης, μπορεί να προάγουν χρόνια φλεγμονή ή να επηρεάζουν το μικροβίωμα και τον βλεννογόνο του εντέρου.

Ο Chan πρόσθεσε ότι είναι πιθανό τα αποτελέσματα να ισχύουν και για τους άνδρες, αν και απαιτείται περαιτέρω έρευνα.

«Αυτό δεν σημαίνει ότι αν καταναλώνετε UPFs θα αναπτύξετε καρκίνο. Δεν είναι αυτό το μήνυμά μας», είπε. «Αλλά αποτελεί ένα κομμάτι του παζλ για το τι μπορεί να οδηγεί στην αύξηση των ποσοστών καρκίνου».

Η Fiona Osgun, επικεφαλής ενημέρωσης του Cancer Research UK, δήλωσε ότι αν και η μελέτη δεν μετρά άμεσα τον κίνδυνο καρκίνου, προσφέρει χρήσιμες ενδείξεις για το πώς η διατροφή μπορεί να επηρεάζει τις πρώιμες μεταβολές στο έντερο που ενίοτε οδηγούν σε καρκίνο.

Τόνισε ακόμη ότι χρειάζονται πολιτικές παρεμβάσεις ώστε οι υγιεινές διατροφικές επιλογές να γίνουν πιο προσιτές. «Η συνολική μας διατροφή έχει μεγαλύτερη σημασία για τον κίνδυνο καρκίνου από οποιαδήποτε μεμονωμένη κατηγορία τροφών», είπε.

Με πληροφορίες από The Guardian

Τech & Science
0

ΣΧΕΤΙΚΑ ΑΡΘΡΑ

ΔΕΙΤΕ ΑΚΟΜΑ

ΧΑΝΤΑΙΟΣ ΚΡΟΥΣΜΑΤΑ ΚΡΟΥΑΖΙΕΡΟΠΛΟΙΟ

Τech & Science / Πόσο επικίνδυνος είναι τελικά ο χανταϊός;

Συναγερμός έχει σημάνει στις υγειονομικές αρχές μετά το ξέσπασμα χανταϊού σε κρουαζιερόπλοιο με επιβάτες από πολλές χώρες, ενώ βρίσκεται σε εξέλιξη μεγάλη επιχείρηση ιχνηλάτησης των ατόμων που ενδέχεται να εκτέθηκαν στον ιό
THE LIFO TEAM
ΒΡΑΔΙΝΟ ΥΠΝΟΣ

Τech & Science / Ο εκπληκτικός τρόπος με τον οποίο το βραδινό σας επηρεάζει τον ύπνο σας

Μελέτη υπό την ηγεσία του Πανεπιστημίου της Γρανάδας, η οποία δημοσιεύθηκε στο European Journal of Nutrition, διαπίστωσε πως το βραδινό σας μπορεί να επηρεάσει την ποιότητα του ύπνου σας και ακόμη και τις επιλογές σας για το πρωινό την επόμενη μέρα
THE LIFO TEAM
Η Google βάζει το Reddit μέσα στις AI απαντήσεις της

Τech & Science / Η Google βάζει το Reddit μέσα στις AI απαντήσεις της

Η Google αναβαθμίζει το AI Mode και τα AI Overviews, φέρνοντας στις απαντήσεις αποσπάσματα από Reddit, social media, φόρουμ και δημόσιες συζητήσεις χρηστών. Η αλλαγή έρχεται την ώρα που όλο και περισσότεροι αναζητούν ανθρώπινες εμπειρίες πίσω από το SEO περιεχόμενο και τις αυτόματες περιλήψεις.
THE LIFO TEAM
Η πλατφόρμα που θέλει να κάνει το πρόσωπο των ηθοποιών συνδρομητική υπηρεσία

Τech & Science / Η πλατφόρμα που θέλει να κάνει το πρόσωπο των ηθοποιών συνδρομητική υπηρεσία

Η αμφιλεγόμενη πλατφόρμα Twinnin υπόσχεται στους ηθοποιούς ότι μπορούν να προστατεύσουν, να ελέγξουν και να αδειοδοτήσουν το ψηφιακό τους πρόσωπο στην εποχή της τεχνητής νοημοσύνης.
THE LIFO TEAM
FDA COVID-19 ΕΜΒΟΛΙΑ

Τech & Science / O FDA εμπόδισε τη δημοσίευση ερευνών σύμφωνα με τις οποίες τα εμβόλια κατά της Covid-19 ήταν ασφαλή

Οι επιστήμονες του Αμερικανικού Οργανισμού Τροφίμων & Φαρμάκων και συνεργάτες που ασχολούνται με την επεξεργασία δεδομένων εξέτασαν εκατομμύρια ιατρικά αρχεία ασθενών για μελέτες που αποσύρθηκαν πριν από τη δημοσίευσή τους
THE LIFO TEAM
Η γενιά της πανδημίας ψάχνει την πρώτη της δουλειά στην εποχή της AI

Τech & Science / Η γενιά της πανδημίας ψάχνει την πρώτη της δουλειά στην εποχή της AI

Η γενιά που τελείωσε το σχολείο μέσα από οθόνες ψάχνει τώρα την πρώτη της δουλειά σε μια αγορά που αλλάζει από την τεχνητή νοημοσύνη. Στην Ελλάδα της επισφάλειας, των χαμηλών μισθών και της καθυστερημένης ανεξαρτησίας, το πρώτο σκαλοπάτι της καριέρας μοιάζει πιο αβέβαιο από ποτέ
THE LIFO TEAM
Οι εκδότες μηνύουν τη Meta για τα βιβλία που «τάισαν» την τεχνητή νοημοσύνη της

Τech & Science / Οι εκδότες μηνύουν τη Meta για τα βιβλία που χρησιμοποιήθηκαν από την τεχνητή νοημοσύνη της

Πέντε μεγάλοι εκδοτικοί οίκοι και ο συγγραφέας Σκοτ Τάροου κατέθεσαν αγωγή κατά της Meta και του Μαρκ Ζάκερμπεργκ, υποστηρίζοντας ότι εκατομμύρια βιβλία και επιστημονικά άρθρα χρησιμοποιήθηκαν χωρίς άδεια για την εκπαίδευση του Llama
THE LIFO TEAM
ΠΑΝΔΗΜΙΑ ΠΟΥ ΣΥΜΦΩΝΙΑ

Τech & Science / Ο κόσμος «απροετοίμαστος» για την επόμενη πανδημία καθώς οι χώρες δεν συμφωνούν σε δεδομένα και εμβόλια

Η διεθνής συνθήκη του ΠΟΥ για τις πανδημίες παραμένει ανολοκλήρωτη, με τον γενικό διευθυντή του ΠΟΥ να τονίζει ότι η επόμενη πανδημία είναι «ζήτημα χρόνου και όχι πιθανότητας»
THE LIFO TEAM