LIVE - Πόλεμος στη Μέση Ανατολή

Οι γιατροί προειδοποιούν: Σκίστηκε ο λαιμός άντρα που προσπάθησε να συγκρατήσει το φτάρνισμά του

Οι γιατροί προειδοποιούν: Σκίστηκε ο λαιμός άντρα που προσπάθησε να συγκρατήσει το φτάρνισμά του Facebook Twitter
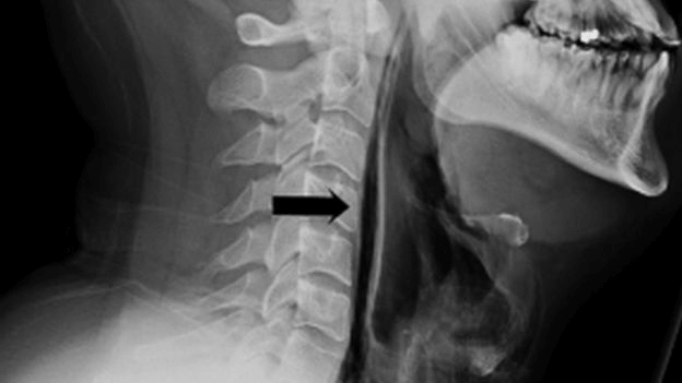
Η ακτινογραφία του ασθενή που υπέστη σοβαρή ζημιά στο λαιμό μετά από ένα συγκρατημένο φτάρνισμα.
1

Οι γιατροί προειδοποιούν με αφορμή τον σοβαρό τραυματισμό ενός άντρα πως δεν πρέπει κανείς και ποτέ να προσπαθεί να συγκρατήσει το φτάρνισμα του.

Το να προσπαθεί κανείς να περιορίσει την ορμητική φυσική πορεία του φταρνίσματος, κλείνοντας τη μύτης και το στόμα, μπορεί να προκαλέσει σοβαρή σωματική βλάβη, υπογραμμίζουν οι γιατροί.

Πρόσφατα στο Λέστερ της Βρετανίας αντιμετωπίστηκε ένα περιστατικό με 34χρονο άνδρα που υπέστη σοβαρό τραύμα στο λαιμό του και πληγή στο λάρυγγα ενώ προσπαθούσε να σταματήσει ένα δυνατό φτάρνισμα.

Χωρίς να βρίσκει διέξοδο, η πίεση διαπέρασε τον μαλακό ιστό και προκάλεσε τη σοβαρή βλάβη. Αν και οι γιατροί κρίνουν πως η σοβαρότητα του περιστατικού είναι σπάνια εκτιμούν πως όλοι πρέπει να γνωρίζουν τους κινδύνους.

Το να προσπαθεί κανείς να περιορίσει το φτάρνισμα μπορεί να προκαλέσει βλάβη στα αυτιά ή ακόμα και στον εγκέφαλο, προειδοποιούν οι ειδικοί στην ιατρική εφημερίδα BMJ Case Reports.

Ο άντρας δήλωσε ότι αισθάνθηκε οξύ πόνο στο λαιμό του όταν συνέβη και αμέσως είχε δυσκολία να καταπιεί και να μιλήσει.

Ο ασθενής παρέμεινε διασωληνωμένος για επόμενες επτά ημέρες ώστε να δοθεί χρόνος και να κλείσει η πληγή στους ιστούς.

1

LIVE - Πόλεμος στη Μέση Ανατολή

ΔΕΙΤΕ ΑΚΟΜΑ

Honey Nest: Στον concept παιδότοπο της Νέας Σμύρνης μικροί και μεγάλοι περνούν εξίσου καλά

Living / Honey Nest: Στον concept παιδότοπο της Νέας Σμύρνης μικροί και μεγάλοι περνούν εξίσου καλά

Η Μαντώ, η Δανάη και ο Αλέξης έφτιαξαν έναν χώρο όπου πρωταγωνιστούν τα ξύλινα παιχνίδια και τα παστέλ χρώματα, διαθέτει μαγαζί και μικρό μπαρ και οι κάτοικοι της γειτονιάς κάνουν φιλίες.
ΙΩΑΝΝΑ ΠΑΝΑΓΟΠΟΥΛΟΥ
Τι γυρεύει μια Γιαπωνέζα ποδοσφαιρίστρια στην Αθήνα;

Living / Τι γυρεύει μια Γιαπωνέζα ποδοσφαιρίστρια στην Αθήνα;

Η Νανάκο Κομπαγιάσι μεγάλωσε σε μια επαρχία της Ιαπωνίας, έπαιξε ποδόσφαιρο στο πιο υψηλό επίπεδο, τα παράτησε, αφοσιώθηκε στη δουλειά της, αλλά αποφάσισε να επιστρέψει, στην Ευρώπη αυτήν τη φορά. Και η ζωή την έβγαλε στο Περιστέρι.
ΑΚΗΣ ΚΑΤΣΟΥΔΑΣ
Το HR του 2026: Όπου το AI και ο άνθρωπος συνεργάζονται

Living / Το HR του 2026: Όπου το AI και ο άνθρωπος συνεργάζονται

Η τεχνητή νοημοσύνη δεν είναι πια εργαλείο. Το 2026, στο HR γίνεται στρατηγικός παίκτης. Όχι για να αντικαταστήσει τον άνθρωπο, αλλά για να αλλάξει ριζικά το πώς οι οργανισμοί παίρνουν αποφάσεις γι’ αυτόν.
ΘΟΔΩΡΗΣ ΒΑΜΒΑΚΑΡΗΣ
Αντιμετωπίζοντας τους εφιάλτες μας

Living / Αντιμετωπίζοντας τους εφιάλτες μας

Ένα νέο βιβλίο καταγράφει την εξέλιξη της επιστήμης των ονείρων τον τελευταίο αιώνα, διαβεβαιώνοντάς μας ότι παρότι οι εφιάλτες μάς επηρεάζουν σε συναισθηματικό επίπεδο, δεν χρειάζεται να υποφέρουμε από αυτούς για πάντα.
THE LIFO TEAM

σχόλια

1 σχόλια