Από τον πνευμονιόκοκκο στην πνευμονία

Από τον πνευμονιόκοκκο στην πνευμονία Facebook Twitter
0

Η πνευμονιοκοκκική νόσος είναι μια μόλυνση που προκαλείται από ένα είδος βακτηριδίου που ονομάζεται Streptococcus pneumoniae (πνευμονιόκοκκος) που προκαλεί διαφορετικούς τύπους πνευμονιοκοκκικής νόσου.

  • Πνευμονιοκοκκική πνευμονία
  • Βακτηριαιμία
  • Μηνιγγίτιδα
  • Ιγμορίτιδα
  • Μέση ωτίτιδα

Η πνευμονιοκοκκική νόσος μπορεί να αποβεί μοιραία. Σε ορισμένες περιπτώσεις, μπορεί να οδηγήσει σε μακροχρόνια προβλήματα όπως εγκεφαλική βλάβη, απώλεια ακοής και απώλεια άκρων.

Συμπτώματα

Πνευμονιοκοκκική πνευμονία

  • Πυρετός
  • Βήχας
  • Δύσπνοια
  • Πόνος στο στήθος.

 

Πνευμονιοκοκκική μηνιγγίτιδα

  • Δυσκαμψία του αυχένα
  • Πυρετός
  • Διανοητική σύγχυση και αποπροσανατολισμός
  • Οπτική ευαισθησία στο φως (φωτοφοβία). 

 

Πνευμονιοκοκκική βακτηριαιμία (μόλυνση του αίματος)

 

Μπορεί να εμφανιστεί με παρόμοια με ορισμένα από τα συμπτώματα της πνευμονίας και της μηνιγγίτιδας:

  • Πυρετός
  • Βήχας
  • Δύσπνοια
  • Πόνος στο στήθος
  • Δυσκαμψία του αυχένα
  • Διανοητική σύγχυση και αποπροσανατολισμός
  • Φωτοφοβία

μαζί με πόνο στις αρθρώσεις και ρίγη.

Μέση ωτίτιδα

  • Πόνος στο αυτί
  • Πρησμένο τύμπανο
  • Αϋπνία
  • Πυρετός
  • Ευερεθιστότητα

 

Πώς μεταδίδεται

Ο Πνευμονιοκόκκος είναι είδος βακτηριδίου στη μύτη και στο λαιμό πολλών ανθρώπων και μεταδίδεται με το βήχα, το φτέρνισμα, ή επαφή με αναπνευστικές εκκρίσεις. Γιατί ξαφνικά εισβάλλει στο σώμα και προκαλεί νόσο είναι άγνωστο.

Από τον πνευμονιόκοκκο στην πνευμονία Facebook Twitter
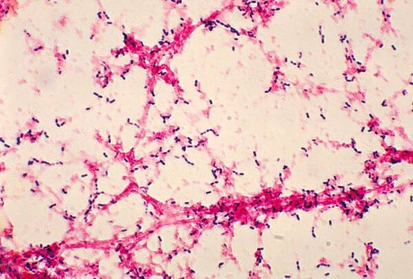
Πνευμονιόκοκκοι (μπλε μετά από χρώση Gram) σε οπτικό μικροσκόπιο

Το εμβόλιο του πνευμονιόκοκκου ΕΙΝΑΙ ΑΠΑΡΑΙΤΗΤΟ:

Στα βρέφη και τα παιδιά ηλικίας κάτω των 2 ετών

  • Συνήθως δίνεται σε βρέφη ως μια σειρά από 4 δόσεις, στους 2, τους 4 μήνες, τους 6 και τους 12 έως 15 μήνες.

 

Στα παιδιά 2 έως 5 ετών

  • Υγιή παιδιά 24 μηνών έως 4 ετών που δεν έχουν εμβολιασθεί.
  • Τα παιδιά 24 μηνών έως 5 ετών με συγκεκριμένες ιατρικές παθήσεις.

 

Σε όλους τους ενήλικες 65 ετών και άνω

 

Σε όλους μεταξύ 2 έως 64 ετών με μακροχρόνιο πρόβλημα υγείας, όπως:

  • καρδιοπάθειες
  • πνευμονοπάθειες
  • δρεπανοκυτταρική αναιμία
  • διαβήτη
  • αλκοολισμό
  • κίρρωση
  • διαρροές του εγκεφαλονωτιαίου υγρού
  • κοχλιακό εμφύτευμα

Σε οποιονδήποτε 2 έως 64 ετών με νόσο ή πάθηση που μειώνει την αντίσταση του οργανισμού

(Νόσος του Hodgkin, Λέμφωμα ή λευχαιμία, Νεφρική ανεπάρκεια, Πολλαπλό μυέλωμα, Λοίμωξη HIV ή AIDS, Μεταμόσχευση οργάνων)

Σε οποιονδήποτε ηλικίας 2 έως 64 ετών που παίρνει φάρμακα ή θεραπεία που μειώνει την αντίσταση του οργανισμού σε λοίμωξη, όπως:

  • μακροχρόνια στεροειδή
  • φάρμακα κατά του καρκίνου
  • θεραπεία με ακτινοβολία.

 

Κάθε ενήλικος 19 έως 64 ετών που είναι καπνιστής ή έχει άσθμα.

 

Εργαζόμενοι και διαμένοντες σε γηροκομεία ή χώρους μακροχρόνια φροντίδας.

ΔΙΑΒΑΣΤΕ ΑΚΟΜΑ

Προσέξτε τα σημεία-κλειδιά για να επιβιώσετε φέτος από τους ιούς, εσείς και οι αγαπημένοι σας. Συμβουλευτείτε και κρατήστε τον Οδηγό Επιβίωσης για να γνωρίζετε πώς να αντισταθείτε στους ιούς.

Ποιες είναι οι «high-risk» ομάδες για την γρίπη;

Πόσο βαριά είναι η γρίπη; Ποια τα συμπτώματα και οι επιπλοκές που προκαλεί;

Ποια άτομα θεωρούνται υψηλού κίνδυνου για πνευμονία και επιπλοκές;

Ποιες είναι οι ομάδες για τις οποίες συστήνεται το αντιγριπικό και τα άτομα εκείνα που δεν πρέπει να εμβολιαστούν;

0

ΔΕΙΤΕ ΑΚΟΜΑ

Το λίπος που δεν φαίνεται μπορεί να είναι και το πιο επικίνδυνο.

Ψυχή & Σώμα / Το λίπος που δεν φαίνεται είναι και το πιο επικίνδυνο

Το σπλαχνικό λίπος, αυτό που τυλίγει τα εσωτερικά μας όργανα, συνδέεται με καρδιοπάθειες, διαβήτη και φλεγμονές. Για όλα αυτά μιλάμε με τη διαιτολόγο Πηνελόπη Δουβογιάννη, αλλά και για το πώς η σωστή διατροφή μπορεί να το μειώσει αποτελεσματικά.
ΜΕΡΟΠΗ ΚΟΚΚΙΝΗ
Πώς μαθαίνουμε τα παιδιά να αγαπούν το σινεμά;

Ψυχή & Σώμα / Σε ένα παιδί που ξέρει μόνο το TikTok, πώς μιλάς για σινεμά;

Η καλλιτεχνική διευθύντρια και διοργανώτρια του Παιδικού και Εφηβικού Διεθνούς Φεστιβάλ Κινηματογράφου, Καλλιόπη Χαραλάμπους εξηγεί πώς μπορούμε να μάθουμε τα παιδιά να αγαπούν το σινεμά και αν η μαγεία της μεγάλης οθόνης μπορεί ακόμα να συγκινεί στην ψηφιακή εποχή.
ΤΖΟΥΛΗ ΑΓΟΡΑΚΗ
Μπορώ να παίρνω όση πρωτεΐνη χρειάζομαι χωρίς να τρώω κρέας;

Ψυχή & Σώμα / Μπορώ να παίρνω όση πρωτεΐνη χρειάζομαι χωρίς να τρώω κρέας;

Η πρωτεΐνη έχει γίνει το νέο «ιερό δισκοπότηρο» της διατροφής  Όμως, πόση πρωτεΐνη χρειαζόμαστε πραγματικά, και μπορούμε να την καλύψουμε χωρίς να τρώμε κρέας; Η Μερόπη Κοκκίνη συζητά με τον δρα Αντώνη Βλασσόπουλο για τις φυτικές πηγές πρωτεΐνης, τη βιωσιμότητα, τα διατροφικά trends και τη φιλοσοφία στην οποία βασίζεται το φαγητό που επιλέγουμε.
ΜΕΡΟΠΗ ΚΟΚΚΙΝΗ
«Το βασικό συναίσθημα πίσω από το άγχος είναι ο φόβος»

Ψυχή & Σώμα / «Το βασικό συναίσθημα πίσω από το άγχος είναι ο φόβος»

Πώς να κάνεις το άγχος να λειτουργήσει υπέρ σου, όχι εναντίον σου; Μερικές φορές είναι το σήμα κινδύνου του οργανισμού, ένα εσωτερικό καμπανάκι που μας ειδοποιεί πως κάτι δεν πάει καλά — ή πως κάτι αλλάζει. Μπορούμε, άραγε, να το μετατρέψουμε από βάρος σε εργαλείο;
ΤΖΟΥΛΗ ΑΓΟΡΑΚΗ
«Το 70% όσων διαβάζουμε στο ίντερνετ για τη διατροφή μας είναι fake news»

Ψυχή & Σώμα / «Το 70% όσων διαβάζουμε στο ίντερνετ για τη διατροφή μας είναι fake»

Όλοι έχουν άποψη για τη διατροφή, από τους influencers μέχρι τους TikTokers και τους αυτοαποκαλούμενους «nutrition experts». Όμως, ποια είναι πραγματικά η αλήθεια μέσα σε αυτόν τον καταιγισμό πληροφοριών; Και τι σημαίνει τελικά «να ξέρεις να τρως σωστά»; H επίκουρη καθηγήτρια Διατροφής, Διατροφικής Συμπεριφοράς και Συμβουλευτικής, Ευαγγελία Φάππα μας εξηγεί.
ΜΕΡΟΠΗ ΚΟΚΚΙΝΗ
Ναρκισσισμός: Ένας απλός εγωισμός ή διαταραχή;

Ψυχή & Σώμα / Ναρκισσισμός: Ένας απλός εγωισμός ή διαταραχή;

Η λέξη «νάρκισσος» έχει γίνει της μόδας: τη χρησιμοποιούμε για πρώην, φίλους, συναδέλφους, σχεδόν για όλους. Όμως, τι σημαίνει πραγματικά να είσαι ναρκισσιστής; Και πώς μπορούμε να ξεχωρίσουμε έναν άνθρωπο με ναρκισσιστική διαταραχή από κάποιον που απλώς αγαπά λίγο παραπάνω τον εαυτό του;
ΤΖΟΥΛΗ ΑΓΟΡΑΚΗ
Άρης Θεοδωρόπουλος: «Η αναρρίχηση είναι ο απόλυτος διαλογισμός»

Ψυχή & Σώμα / Άρης Θεοδωρόπουλος: «Η αναρρίχηση είναι ο απόλυτος διαλογισμός»

Ο Άρης Θεοδωρόπουλος, ένας από τους σημαντικότερους Έλληνες αναρριχητές, μιλά στη Μερόπη Κοκκίνη για τη φιλοσοφία της αναρρίχησης, τη διαχείριση του φόβου και τη γαλήνη που γεννιέται όταν το σώμα, η αναπνοή και ο βράχος γίνονται ένα.
ΜΕΡΟΠΗ ΚΟΚΚΙΝΗ
Γονείς στην εξέδρα: Στηρίζουν ή γίνονται βάρος;

Ψυχή & Σώμα / Γονείς στην εξέδρα: Στηρίζουν ή γίνονται βάρος;

Ο αθλητισμός παίζει καθοριστικό ρόλο στη διαμόρφωση της προσωπικότητας των παιδιών. Όμως, συχνά οι γονείς αναλαμβάνουν ρόλο… προπονητή, επηρεάζοντας όχι μόνο την αθλητική πορεία αλλά και την ψυχολογία τους. Η Τζούλη Αγοράκη μιλά με τον αθλητικό ψυχολόγο Ορέστη Πανούλα.
ΤΖΟΥΛΗ ΑΓΟΡΑΚΗ
Η νεύρωση της ευτυχίας

Ψυχή & Σώμα / Η νεύρωση της ευτυχίας

Γιατί όσο περισσότερο κυνηγάμε την ευτυχία, τόσο πιο συχνά γεμίζουμε άγχος; Τι ρόλο παίζουν οι προσωπικοί στόχοι και η εξέλιξη μας σε αυτήν τη διαδρομή; Η Τζούλη Αγοράκη συζητά με τη διδάκτορα ψυχολογίας Ιάνθη Σταυροπούλου για τα παράδοξα της ευτυχίας και τους τρόπους με τους οποίους μπορούμε να τη διατηρήσουμε πιο συνειδητά στη ζωή μας.
ΤΖΟΥΛΗ ΑΓΟΡΑΚΗ
Δεν είναι χανγκόβερ, είναι «κοινωνική άπνοια»

Υγεία & Σώμα / Δεν είναι χανγκόβερ, είναι «κοινωνική άπνοια»

Μια πρόσφατη μελέτη ανέλυσε τα μοτίβα του ύπνου σε δεκάδες χιλιάδες άτομα, με στόχο να μάθουμε περισσότερα σχετικά με μια συνθήκη που μας πνίγει και μας εξαντλεί κυρίως τα Σαββατοκύριακα: την κοινωνική άπνοια.
THE LIFO TEAM
10+1 τρόποι να αυξήσετε την καλή χοληστερίνη

Υγεία & Σώμα / 11 τρόποι να αυξήσετε την καλή χοληστερίνη

Μέχρι στιγμής δεν έχει κυκλοφορήσει κάποιο ασφαλές φάρμακο το οποίο να ανεβάζει αξιόλογα την HDL, γι’ αυτό καλό είναι να φροντίζουμε η διατροφή μας να περιέχει τροφές που κάνουν αυτήν τη δουλειά.
ΣΤΕΛΙΟΣ ΠΑΝΤΑΖΗΣ, MD & ΑΛΕΞΑΝΔΡΑ ΤΣΕΣΜΕΛΗ
Γιατί όλοι νομίζουμε ότι έχουμε ΔΕΠΥ;

Ψυχή & Σώμα / Γιατί όλοι νομίζουμε ότι έχουμε ΔΕΠΥ;

Από το TikTok μέχρι τις παρέες μας, όλο και περισσότεροι πιστεύουν ότι έχουν ΔΕΠΥ. Η Μερόπη Κοκκίνη συζητά με την κλινική ψυχολόγο Νιόβη Μιχαλοπούλου για την αίσθηση ότι η διάσπαση προσοχής μάς αφορά πλέον όλους.
ΜΕΡΟΠΗ ΚΟΚΚΙΝΗ
Χρειαζόμαστε πραγματικά όλα αυτά τα συμπληρώματα διατροφής;

Ψυχή & Σώμα / Χρειαζόμαστε πραγματικά όλα αυτά τα συμπληρώματα διατροφής;

Τα συμπληρώματα διατροφής είναι παντού – βιταμίνες, ιχνοστοιχεία και μέταλλα σε χάπια, κάψουλες, και σκόνες «μαγικές» που υπόσχονται ευεξία και μακροζωία. Είναι όμως πραγματικά απαραίτητα ή απλώς ένα ακόμη προϊόν μάρκετινγκ; Η διαιτολόγος Μελίνα Καρυπίδου ξεδιαλύνει μύθους και αλήθειες γύρω από τη μανία με τα συμπληρώματα.
ΜΕΡΟΠΗ ΚΟΚΚΙΝΗ
Λιγούρες: Γιατί μας πιάνουν ξαφνικά;

Ψυχή & Σώμα / Λιγούρες: Γιατί μας πιάνουν ξαφνικά;

Γιατί έχουμε λιγούρες και πώς μπορούμε να τις διαχειριστούμε χωρίς ενοχές; Η διαιτολόγος Μελίνα Καρυπίδου αποδομεί τους πιο συχνούς μύθους και δίνει μικρά tips και πρακτικές λύσεις που μας βοηθούν να χτίσουμε μια πιο υγιή σχέση με το φαγητό.
ΜΕΡΟΠΗ ΚΟΚΚΙΝΗ
Μικροβίωμα, gut-brain axis, προβιοτικά: Tι σημαίνουν όλα αυτά για το έντερό σου;

Ζωή στα καλύτερά της / Μικροβίωμα, gut-brain axis, προβιοτικά: Tι σημαίνουν όλα αυτά για το έντερό σου;

Μία συζήτηση με την κλινική διαιτολόγο, βιολόγο και τεχνολόγο τροφίμων Άννα Αρτεμίου για την εντερική υγεία και τη σημασία της, στο πλαίσιο της σειράς podcast «Ζωή στα καλύτερά της», με την υποστήριξη των συμπληρωμάτων διατροφής EVIOL.
ΛΑΣΚΑΡΙΝΑ ΛΙΑΚΑΚΟΥ
Ο μόνος τρόπος για να ξεκολλήσουν τα παιδιά από τα κινητά είναι να τα αφήσουμε να βγουν έξω

Υγεία & Σώμα / Ο μόνος τρόπος για να ξεκολλήσουν τα παιδιά από τα κινητά είναι να τα αφήσουμε να βγουν έξω

Τα παιδιά θέλουν να συναντιούνται από κοντά, χωρίς οθόνες ή επίβλεψη, αντί να περιορίζονται στο πίσω κάθισμα της ίδιας της ζωής τους. Καθώς η ανεξαρτησία τους έχει μειωθεί, το άγχος και η κατάθλιψή τους έχουν αυξηθεί.
THE LIFO TEAM
Αρκετά με τις μητρικές ενοχές και με την κουλτούρα της διαρκούς ψυχοθεραπείας

Υγεία & Σώμα / Αρκετά με τις μητρικές ενοχές και με την κουλτούρα της διαρκούς ψυχοθεραπείας

Μια κοινή αντίληψη στην εποχή μας είναι ότι αν οι μητέρες «δουλέψουν» οι ίδιες αρκετά με τον εαυτό τους θα διασφαλίσουν την ψυχική υγεία των παιδιών τους. Αυτό είναι μια ψευδαίσθηση.
THE LIFO TEAM